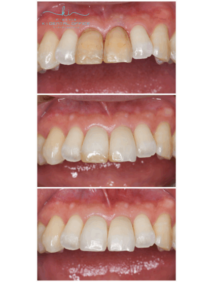
オフィスホワイトニング

オフィスホワイトニングは、医院で歯の表面にホワイトニングジェルを塗って、光をあてて白くする方法です。1時間半程度で白くなります。短期間で歯を白くすることができるのが特徴です。
メリット
- 短時間でホワイトニングができる
デメリット
- 知覚過敏が出やすい
費用について
| オフィスホワイトニング(1回目) | 30,000円 |
|---|---|
| オフィスホワイトニング(2回目以降、前回から半年以内) | 20,000円 |
| オフィスホワイトニング(片顎のみ) | 20,000円 |
ホームホワイトニング

ホームホワイトニングは、自宅で専用のマウスピースと薬剤を使って歯を白くする方法です。
歯科医院でマウスピースを作り、1日1〜2時間の使用を2週間ほど続けます。自然な白さが長持ちしやすいのが特徴です。
メリット
- 自分のタイミングでできる
- しみにくい
デメリット
- 2~4週間続ける必要がある
- 治療効果が出るのが遅い
費用について
| ホームホワイトニング(上下顎4週間) | 35,000円 |
|---|---|
| ホームホワイトニング(片顎のみ) | 20,000円 |
| ホームホワイトニング(薬追加1本) | 5,000円 |
| ホームホワイトニング(トレー片側) | 10,000円 |
デュアルホワイトニング
ホームホワイトニングとオフィスホワイトニングのいいところ取りで、よりスピーディで長持ちするホワイトニングを実現します。今までホワイトニング効果が出にくかった人や確実に白くしたい人におすすめです。
メリット
- 短時間で確実な効果が期待できる
デメリット
- 知覚過敏が出やすい
- 治療期間が長くなる
費用について
| デュアルホワイトニング(オフィス2回+ホーム4週間) | 70,000円 |
|---|---|
| デュアルホワイトニング(オフィス1回+ホーム4週間) | 55,000円 |
ウォーキングブリーチ

虫歯や外傷で神経を失った歯は、だんだん黒くなっていくことがあります。ウォーキングブリーチは、神経を1度失って歯が黒く変色してしまったものを、元のように白くする治療法です。
神経が通っていた管の中にホワイトニング剤を入れて、変色した歯を白くします。
※歯の神経の治療が必要な場合は、治療を優先させていただきます。
メリット
- 失活歯を内側から白くできる
- 歯を削ることなく白くできる
デメリット
- 後戻りをする場合がある
費用について
| ウォーキングブリーチ | 5,000円 |
|---|---|
| ウォーキングブリーチ(薬交換1回) | 2,000円 |
ホワイトスポット治療(アイコン)

ホワイトスポットとは、歯の表面にできる白い斑点で、初期むし歯やエナメル質形成不全などが原因です。
アイコン(Icon)は歯を削らずに薬剤を浸透させ、白濁を目立たなくする最新の治療法です。
歯質を温存しながら自然な色調に近づけられるため、見た目が気になる方に適しています。
メリット
- 歯を削らず治療できる(無痛に近い)
- 自然な色調に改善しやすい
- 1回〜数回の短期間で完了することが多い
デメリット
- 経年的に色が戻ることがある
費用について
| 1歯目 | 33,000円 |
|---|---|
| 2歯目以降(1歯につき) | +11,000円 |
医療ホワイトニングとセルフホワイトニングの違い
ホワイトニングには「医療ホワイトニング」と「セルフホワイトニング」があります。 医療ホワイトニングは、歯科医院で歯科医師や歯科衛生士が施術を行います。
専用の薬剤を使って歯の内部の着色まで作用させるため、高い効果と持続性が期待できます。
安全面にも配慮されており、しっかりと白さを実感したい方に適しています。
セルフホワイトニングは主にサロンなどで提供されるものです。
使用できる薬剤が限られているため、歯の表面の汚れを落とせても歯の内部の黄ばみ(加齢や遺伝による象牙質の黄ばみ)にはアプローチ出来ず、本来の歯の白さは取り戻せません。
| 医療ホワイトニング(歯科医師の介在あり) | セルフホワイトニング(歯科医師の介在なし) | |
|---|---|---|
| 特徴 | 歯の内側まで白くする | 歯の外側の着色を除去 |
| どこで |
|
|
| 何を |
|
|
| 使用材料 | ホワイトニング材(医療機器) 【主成分】過酸化水素または過酸化尿素 |
化粧品やホワイトニング歯磨き粉 【成分】重曹、ポリリン酸、酸化チタンなど |


