このような症状でお悩みはありませんか?
- 歯磨きの時に出血する
- 歯茎が腫れている・膿が出ている
- 口臭が気になる
- 歯茎が下がってきた
- 硬いものが食べづらい
- 口の中がネバネバする
- 歯がグラグラする
- 歯と歯の間に食べ物が詰まりやすい
歯周病とは

歯周病は、成人の約80%がかかっているとも言われる国民病です。歯周細菌と呼ばれる細菌が歯周ポケットに入り込むことで発生します。歯周病は自覚症状を伴わずに進行していくことが多いため、放置しておくと顎の骨が破壊され、最終的に歯が抜け落ちてしまうケースもあります。
また、最近では歯周病と全身疾患との関係も指摘されるようになっていて、歯周病治療は「歯を守る」だけでなく「全身を守る」治療でもあります。
全身疾患との関係

歯周病はお口だけの病気ではなく、全身のさまざまな疾患を引き起こしたり、悪化させる原因となります。歯周病菌や炎症物質が血液を通じて全身に広がり、糖尿病・動脈硬化・心筋梗塞・脳梗塞・早産など、健康に大きな影響を与えることが分かっています。
特に糖尿病とは互いに悪化させ合う関係にあり、歯周病治療を行うことで血糖値の指標である HbA1cの改善につながることも報告されています。さらに近年では、歯周病が認知症の発症や進行に関わる可能性も指摘されており、全身の健康に直結する病気として注目されています。
歯を守り、全身の健康を維持するためにも、定期的なケアと予防を心がけましょう。
歯周病の進行について
1歯肉炎

歯周病の初期段階。歯と歯茎の間(歯周ポケット)に
プラーク(細菌のかたまり)が溜まり、歯茎に炎症が起こる状態。
主な症状
- 歯茎が赤く腫れる
- 歯磨きや食事で出血する
2軽度の歯周病

歯肉炎が進行し、歯槽骨がわずかに吸収され始める。
歯周ポケットの深さは3mm程度。
主な症状
- 歯茎の出血が頻繁に起きる
- 歯茎が下がってきたような感じ
- 口臭が気になる
3中等度の歯周病

歯槽骨の吸収が進んで歯の支えが弱くなり、歯がぐらつくことも。
歯周ポケットは4~5mmに拡大。
主な症状
- 歯が浮いたような感じがする
- 歯茎が下がる 口臭が気になる
4重度の歯周病

歯槽骨の吸収が深刻で、歯がほとんど支えを失った状態。
歯周ポケットは6mm以上。
主な症状
- 歯が大きぐらついて嚙みにくい
- 強い口臭
- 膿が出る
- 最終的に歯が抜ける
当院の治療法
ブラッシング指導・デンタルグッズの処方
当院では、患者さま一人ひとりの歯の状態や磨き方に合わせて、適切なブラッシング指導、歯ブラシやフロスなどの処方を行います。
スケーリング(歯石除去)
日常のブラッシングでは除去できない歯ぐきの中に入り込んだ歯垢や歯石は、痛みに配慮しながら丁寧に除去します。
ルートプレーニング(歯根表面の清掃)
スケーリングでは除去しきれないような、歯茎の奥に隠れて見えない歯の根に付着した歯垢や歯石、歯周病菌に感染した歯質を除去します。
歯周外科治療
歯ぐきを開いて、歯周病の根本原因になっている歯の根などに付着している歯垢・歯石・毒素を除去します。
歯周組織再生療法
歯周病で失われてしまった骨や歯ぐきを回復させる「歯周組織再生療法」を行っています。これまでは元に戻すことが難しかった部分も、再生を助けるお薬を使うことで改善が期待できるようになりました。
当院では2種類の方法をご用意しており、世界的に広く使われている「エムドゲイン」、もうひとつは日本で開発され、保険適応で受けられる「リグロス」です。症状やご希望に合わせてご提案し、大切な歯を少しでも長く守るお手伝いをいたします。
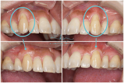
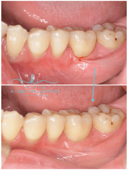
歯周形成外科
歯周形成外科は、歯周病や加齢などによって変化した歯ぐきの形態や機能、見た目を改善するための外科的治療です。
根面被覆術

歯ぐきが下がり見た目が悪くなったり、知覚過敏があったりした場合に、歯ぐきを移植して下がった歯ぐきを修復する治療法です。
遊離歯肉移植術

歯ぐきの幅が狭かったり小帯が発達しているなどの理由で、歯磨きがしづらい場合に行う治療法です。ご自身の口の中から健康な歯肉を移植し、形や厚みを整えることで、ブラッシングしやすく清潔を保ちやすい歯ぐきになります。



