\*春のホワイトニングキャンペーン実施中*/
こんにちは。福岡市中央区今泉にある医療法人 正美会 F-style K・I DENTAL OFFICE(エフスタイル ケーアイ デンタル オフィス)です。
いよいよ、春の到来ですね!
この時期、新しい環境や新しい人とのつながりが増える方も多いのではないでしょうか?
『自然な白い歯』は、第一印象をグッと明るくします。
皆さまの新しい1歩を応援するためにケーアイデンタルオフィスでは、春のホワイトニングキャンペーンを実施いたします!!
この機会にあなたの笑顔に自信をプラスしましょう(^ ^)/

▼▼ キャンペーン内容 ▼▼
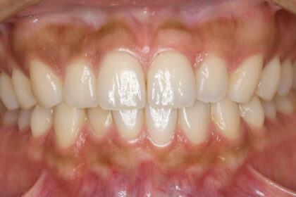
*オフィスホワイトニング*
病院にて専用の機械と薬剤を用いて、歯科医師または歯科衛生士が歯を白くしていきます。
強めの薬剤を用いて1時間半ほど時間をかけて施術を行うため、ほとんどの方が施術前との違いを実感いただけます。
ただし、白くなる度合いについては個人差があります。
詳しくはこちらをご覧ください。
通常価格 ¥30,000
→キャンペーン価格 ¥20,000
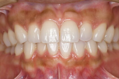
*ホームホワイトニング*
ご自宅で好きな時間にマウスピースとホワイトニングジェル(薬液)を自分で装着し、歯を白くします。
効果の実感としては10日~2週間ほどかかりますが、比較的歯の白さが長持ちします。
詳しくはこちらをご覧ください。
通常価格 ¥35,000
→キャンペーン価格 ¥25,000
*ホワイトニングジェル(薬液)2本購入*
すでにホームホワイトニング用のマウスピースをお持ちの方は薬液だけ購入できます。
通常価格 ¥10,000(2本分)
→キャンペーン価格 ¥9,000(2本分)
*ホワイトニングリピーターの方*
オフィスホワイトニングまたはホームホワイトニングを6ヶ月以内に再予約される方はホワイトニング料金¥10,000 OFFに加えて
ルシェロ歯みがきペースト ホワイトプレミアムケア1本
選べる!ルシェロ歯ブラシ1本
プレゼントいたします☆
注意事項
※いずれも自由診療となります。
※効果には個人差があります。
※施術後に一時的に知覚過敏症状が生じることがあります。
※詳しい適応については診察のうえご案内いたします。
▼▼ キャンペーン期間 ▼▼
予約受付期間 〜3月末まで
施術可能期間 3月〜4月末まで
予約枠には限りがありますので、早めのご予約をお待ちしております。
また、当院ではお口や身体の健康を保つために定期健診をはじめ、一般治療・矯正治療も行っております。
少しでも気になることがあれば、お気軽にお問い合せください(^ ^)
皆さまのご来院、お待ちしております☆彡
不安を抱えている方へ
まずはご相談だけでも大丈夫です。
当院では専任のカウンセリングスタッフが在中しています。
-
□ 治療が必要かわからない
-
□ 痛みはないけど気になる など
一人ひとりの状態に合わせ、最適な方法を一緒に考えていきます。
どうぞ安心してご来院ください。
-
カウンセリング予約受付中
▼ まずはお気軽にご相談を ▼
無料カウンセリングのご予約 ・ はじめてのご予約の方はこちら
お問い合わせの方はLINE / info@ki-dentaloffice.comまで
ホームページ トップ
年末年始の休診について
みなさま、こんにちは。
年末年始の休診日につきまして、下記の通りご案内させて頂きます。
■12月27日(土)午後〜1月4日(日)
1月5日(月)より通常通りの診療です。
ご迷惑をおかけしますが、よろしくお願いします。
お休み期間中に、何かお口のトラブルが発生した場合に備えて「急患センター」をご紹介します。
・福岡市歯科急患診療所:電話番号 092−752−0648
・所在地:福岡市中央区大名1丁目12−43 福岡県歯科医師会館内
・診療日:年末年始(12月28日・12月31日〜1月4日)
・診療時間:午前9時〜午後4時30分
※保険証を必ずお持ちください。

福岡市中央区今泉
F-style K・I DENTAL OFFICE(エフスタイル ケーアイ デンタル オフィス)
矯正無料相談 実施中!!
みなさま、こんにちは!
現在当院では、矯正認定医による矯正無料相談を行っております🎵
「前歯が飛び出してる…」
「歯並びがガタガタしていて磨きにくい…」
「下顎が前に出ている…」
相談内容は様々ですが、
歯並びでお悩みの方はたくさんいらっしゃいます。
そこで当院では、
今のあなたさまのお口の状態においてどんな治療方法があるのか、
一緒に考えさせていただく機会をできるだけ多くの方に提供していきたいと思っています。
また、当院の患者様はお子様〜70代の方まで、幅広いご年齢の方が矯正をされています。
おひとりで悩まず、まずは相談してみませんか?
WEBまたはお電話にてご予約承り中です(o^^o)
みなさまのご予約をお待ちしております☆彡
※早めの相談をご希望の方は、お電話でのご予約をお勧めしています。
福岡市中央区今泉
F-style K・I DENTAL OFFICE(エフスタイル ケーアイデンタルオフィス)
年末年始の休診について
みなさま、こんにちは。
年末年始の休診日につきまして、下記の通りご案内させて頂きます。
■12月28日(土)午後〜1月3日(金)
1月4日(土)より通常通りの診療です。
ご迷惑をおかけしますが、よろしくお願いします。
お休み期間中に、何かお口のトラブルが発生した場合に備えて「急患センター」をご紹介します。
・福岡市歯科急患診療所:電話番号 092−752−0648
・所在地:福岡市中央区大名1丁目12−43 福岡県歯科医師会館内
・診療日:年末年始(12月29日・12月31日〜1月3日)
・診療時間:午前9時〜午後4時30分
※保険証を必ずお持ちください。

福岡市中央区今泉
F-style K・I DENTAL OFFICE(エフスタイル ケーアイ デンタル オフィス)
『公式LINE』を始めました☆



