ガムピーリングとは

歯ぐきの黒ずみやくすみが気になったことはありませんか?
喫煙や体質、遺伝などが原因で、歯ぐきに「メラニン色素」が沈着すると黒っぽく見えてしまうことがあります。
一度沈着したメラニンは自然に消えることがないため、笑顔に自信を持てなくなる方も少なくありません。
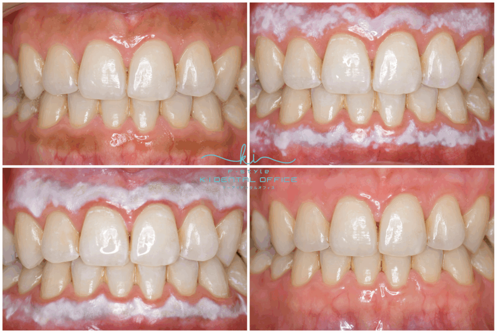
ガムピーリングは、専用の薬剤を使用して歯ぐきの表面をやさしく処置し、本来の健康的で明るいピンク色を取り戻す治療法です。処置自体は比較的短時間で行うことができ、施術後は徐々に自然で美しい歯ぐきの色合いへと改善されていきます。歯を白くするホワイトニングと同じように、歯ぐきの色を整えることも口元の印象を大きく変える大切なポイントです。
「歯ぐきが黒くて笑うのに抵抗がある」「口元をより明るく見せたい」という方は、ぜひ一度ご相談ください。
こんな方におすすめ
- 歯ぐきの黒ずみが気になる
- 喫煙の影響で歯ぐきが黒っぽい
- 口元全体をより明るく美しく見せたい
- 接客業など仕事柄人前で話す機会が多い
- 結婚式など大切なイベントを控えている
- 歯ぐきの色が原因で笑顔に自信が持てない方
- 遺伝や体質で歯ぐきの色が濃い
歯ぐきや歯肉が黒くなる原因
喫煙
たばこの中に含まれる成分や熱の刺激でメラニンが沈着しやすくなります
遺伝・体質
もともとメラニンの量が多い方は、歯ぐきが生まれつき濃い色をしています
炎症や刺激
歯周病や強いブラッシングによる刺激が、色素沈着の原因になることもあります
ホルモンバランスの変化
妊娠や思春期など、ホルモンの影響でメラニンが増えることがあります
費用
| ガムピーリング(上下) | 10,000円 |
|---|
治療の流れ
1カウンセリング・口腔内チェック
ガムピーリングを始める前に、カウンセリング、歯茎の状態・口腔内のチェックをします。
2表面麻酔
ガムピーリングに使用する薬剤は歯茎が少しピリピリするため、薬剤を塗る前に表面麻酔を塗布し、痛みを和らげます。
3薬剤の塗布
フェノール剤というメラニン色素を除去する薬剤を歯茎の黒ずみに塗ります。
しばらく時間をおき、その後エタノール剤を塗ってフェノール剤を中和させます。
4薬剤の洗浄・乾燥
きれいに水洗いをして乾燥させます。
53⃣と4⃣を繰り返す
フェノール剤の塗布→エタノール剤で中和→水洗い・乾燥を3回ほど繰り返します。
薬剤を塗った部分が白くなりますが、約1週間で白い部分が剥がれてピンク色の歯茎になります。
ガムピーリングが出来ない方
ガムピーリングで治療できない方
金属の詰め物・被せ物(メタルタトゥー)
金属でできた詰め物や被せ物から金属物質が溶け出し、歯ぐきに沈着して歯の周囲が黒っぽく見えることがあります。
メタルタトゥーはガムピーリングでは改善せず、金属アレルギーなどの別の心配も考えられます。
改善のためには金属を使わないメタルフリー治療で改善していく必要があります。
メタルフリーのセラミック治療

メタルフリーのセラミック治療は、金属を一切使用せずにセラミック素材で被せ物や詰め物を作る治療です。
天然の歯に近い透明感や色調を再現でき、見た目が自然で審美性に優れています。
金属アレルギーの心配がなく、歯ぐきの黒ずみも起こりにくいため、身体にやさしい治療法として選ばれています。


