審美歯科とは

審美治療とは、歯や歯茎の見た目を整え、口元全体のバランスを美しく仕上げるための治療です。
歯の色や形を美しくするだけでなく、歯茎やお口全体の健康にも配慮しながら自然で調和のとれた口元を目指します。
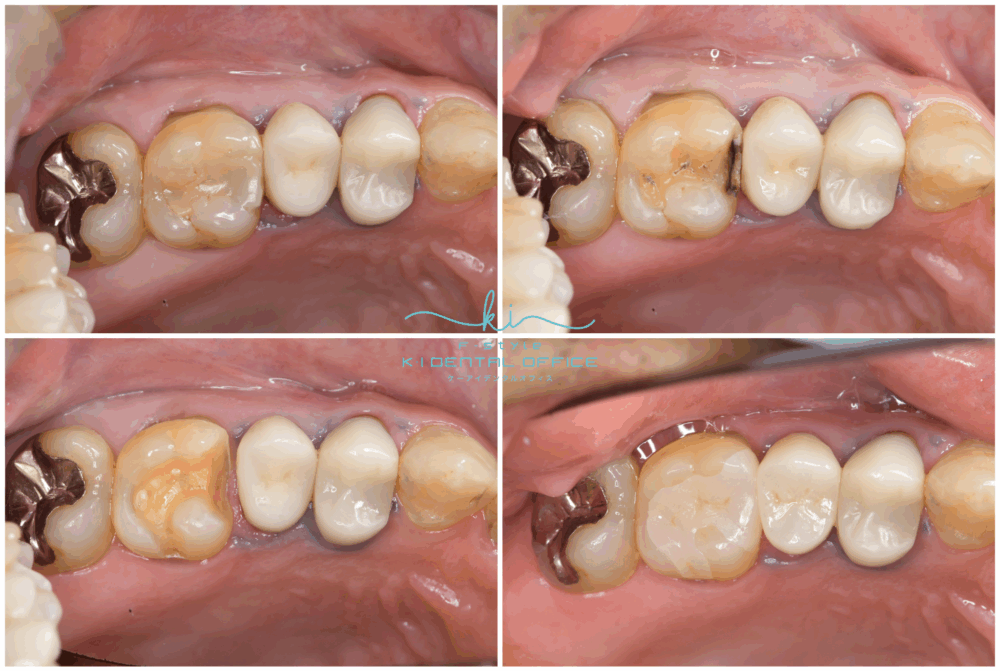
また、審美治療ではこれまでの銀歯を、目立ちにくい白いかぶせ物にすることができます。
銀歯を白い歯にかえることで自然な笑顔がより引き立ち、笑ったときの印象も明るくなり、「人前で思いきり笑えるようになった」「自信が持てるようになった」というお声も多くいただいています。
ご自身らしい素敵な笑顔を楽しむために、審美治療という選択肢をぜひご検討ください。
取り扱っている補綴の種類
インレー
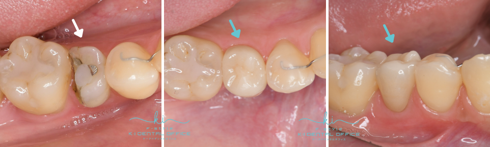
セラミックインレー

セラミックインレーは天然歯に近い白さと透明感が特徴です。
歯になじみやすく、銀歯より汚れが付きにくいため、むし歯の再発リスクも抑えられます。
金属を使用しないため金属アレルギーの心配がなく、歯ぐきの変色も起こりにくいのが利点です。
ただし、強い衝撃には割れやすい面があるため、歯ぎしりが強い方は注意が必要です。
料 金 | 50,000円〜60,000円 |
---|
ジルコニアインレー

ジルコニアインレーは、人工ダイヤモンドとも呼ばれるジルコニアを使用した高強度の白い詰め物です。
セラミックに比べて強度が高く、奥歯など咬合力が強くかかる部位にも適しています。
審美性も良く、金属を含まないため金属アレルギーのリスクもありません。
耐久性に優れ長持ちしやすいのが大きな特徴ですが、セラミックよりは透明感が劣ることがあります。
料 金 | 55,000円〜65,000円 |
---|
ゴールドインレー
ゴールドインレーは、金合金を使用した詰め物で、適合性と耐久性に非常に優れています。
柔らかい性質を持つため歯との馴染みが良く、咬み合わせにフィットしやすいのが特徴です。
長期間使用しても欠けたり割れたりしにくく、二次むし歯のリスクも低いとされています。
審美性では白い歯に比べて劣りますが、機能性を重視する方に適した素材です。
料 金 | 66,000円〜76,000円 |
---|
クラウン
セラミッククラウン
セラミッククラウンは、歯全体を覆う白い被せ物で、天然歯に近い透明感と美しさを再現できるのが特徴です。
金属を使用しないため、金属アレルギーの心配がなく、歯ぐきの変色も起こりにくいメリットがあります。
審美性を重視した前歯の治療に特に適しており、自然な仕上がりを求める方に人気です。
ただし、衝撃により割れるリスクがあるため、奥歯など強い力がかかる部位では注意が必要です。

料 金 | 90,000円 |
---|
ジルコニアクラウン
強度と耐久性に優れた白い被せ物で、奥歯など強い力がかかる部位にも安心して使用できます。
仕上げには「ステイン法」と「レイヤリング法」の2種類があります。
ステイン法
「ステイン法」はジルコニアに着色を施すことで自然な色合いを再現し、強度重視の方に適しています。

レイヤリング法
「レイヤリング法」はジルコニアのフレームにセラミックを盛り付け、透明感やグラデーションを出すことで、より天然歯に近い美しい仕上がりになります。
審美性と機能性を兼ね備えた治療法です。

ステイン | 99,000円 |
---|---|
レイヤリング | 132,000円 |
ゴールドクラウン
ゴールドクラウンは、金合金を用いた被せ物で、適合性や耐久性に非常に優れています。
柔らかい特性を持ち、歯にぴったりと馴染むため咬み合わせが自然で、長期間の使用でも欠けにくく二次むし歯になりにくいのが特徴です。
金属アレルギーのリスクは低いとされますが、見た目は金色のため審美性を重視する前歯には不向きです。
機能性や長持ちを重視する方に適した素材です。
料 金 | 120,000円 |
---|
ラミネートべニア
ラミネートべニアは、前歯の表面を薄く削り、セラミック製の薄い板を貼り付ける治療法です。
歯の色や形を美しく整えられるため、ホワイトニングで効果が出にくい歯の着色や、すきっ歯などの改善に適しています。
天然歯のような透明感を再現できるため審美性に優れていますが、歯を少し削る必要があり、強い力がかかると割れることもあります。
短期間で見た目を改善したい方に人気の方法です。
料 金 | 90,000円 |
---|
ダイレクトボンディング
ダイレクトボンディングは、歯科用の樹脂(コンポジットレジン)を直接歯に盛り、形や色を整える治療法です。
歯を削る量が少なく、1回の来院で治療できることが多いため負担が少ないのが特徴です。
欠けた歯の修復や、すきっ歯、軽度の変色など幅広く対応できます。
比較的費用も抑えられますが、経年的に変色や摩耗が起こることがあり、定期的なメンテナンスが必要です。
ダイレクトボンディング前歯

ダイレクトボンディング小臼歯

ダイレクトボンディング大臼歯

料 金 | 22,000円~33,000円 |
---|
治療の流れ
1カウンセリング

まずはカウンセリングで、患者さまのお悩みや「こうなりたい」というご希望をじっくりお伺いします。
その後、お口の状態をしっかりと検査し、見た目だけでなく機能面も含めたトータルな視点で治療方法をご提案します。
治療の内容やスケジュールをご相談しながら決めていきますので、安心しておまかせください。
2むし歯・歯周病治療、仮歯装着

虫歯や歯周病がある場合は、まず先に治療をします。
症状によっては治療に数週間〜数ヶ月ほどかかることもありますが、しっかりと土台を整えることで、審美治療の仕上がりにも良い影響を与えます。
数本をまとめて治療する場合や、むし歯などで歯が大きく失われている部分には、仮歯をお作りします。
精度の高い仮歯を作ることで、最終的なかぶせ物もより自然で美しい仕上がりになります。
3型取り・色合わせ

治療部分の型を採取し、セラミックを作製します。
色調や形状を細かく調整し、快適かつ美しいセラミックに仕上げます。
4完成

完成したセラミックを患部に装着し、治療完了です。